Có được bộ răng tốt, không những tăng thêm vẻ đẹp của con người, mà còn có lợi cho sức khỏe. Do ý thức bảo vệ, vệ sinh răng chưa cao nên chúng ta dễ mắc các bệnh về răng. Đây là nguyên nhân chính khiến người già răng không chắc, rụng sớm, nhiều người trẻ bị sâu răng, viêm lợi , đặc biệt là bệnh ung thư miệng. Mắc các bệnh về răng ảnh hưởng đến chức năng nhai, khiến cho chúng...
TTO - Ngày 30-5, BS Trương Công Đầy, trưởng khoa Nhi Bệnh viện Đa khoa trung tâm Tiền Giang, cho biết một bé trai tám tháng tuổi ở xã Đông Hòa, huyện Châu Thành vừa tử vong do bệnh tay-chân-miệng. Bé bị sốt liên tục bốn ngày, loét miệng, nổi bóng nước ở lòng bàn tay, bàn chân, hay giật mình, lừ đừ. Bé được cha mẹ đưa đến BV trong tình trạng thở yếu, khó thở, tay chân lạnh... và tử vong sau...
Theo lời kể của bệnh nhân Võ Đại Đức (53 tuổi, quận 3), ông bị mất hai chiếc răng giả cách đây khoảng ba năm nhưng nghĩ răng đã theo đường tiêu hoá ra ngoài nên ông không đi khám Gần đây, ông thường xuyên ho khạc ra máu hoặc ra mủ, đôi lúc còn thấy khó thở. Ngày 29.4, ông đến bệnh viện Tai mũi họng TP.HCM xét nghiệm và chụp phim phổi. Kết quả đã phát hiện hai đường cản quang ngắn nằm...
(NLĐ)- Ngày 5-5-2009, tại hội thảo về điều trị nha khoa, bác sĩ Huỳnh Đại Hải, Giám đốc Bệnh viện Răng Hàm Mặt TPHCM, cho biết hiện nay tại VN có gần 97% người từ 45 tuổi trở lên bị sâu răng vĩnh viễn không được điều trị và trung bình mỗi người có từ 9-11 chiếc răng bị sâu Có gần 6% nhóm đối tượng này bị mất toàn bộ răng. Nguyên nhân gây sâu răng và các bệnh về răng miệng là không...
Khảo sát của Viện Răng Hàm Mặt Quốc gia về tình trạng sâu răng ở nước ta vừa qua cho thấy: trẻ em ở độ tuổi 6-8 tỷ lệ bị sâu răng vĩnh viễn chiếm khoảng 25%; ở độ tuổi 9-10, tỷ lệ này tăng lên hơn 54%; và ở những người trên 45 tuổi, tỷ lệ sâu răng là 90%. Có hai nguyên nhân chính gây ra tình trạng này: nồng độ flour trong nước sinh hoạt ở nước ta hiện nay chỉ đạt mức 0,4ppm (chưa...
TT - Các bác sĩ ở TP.HCM nhận định hiện đang là đỉnh điểm của bệnh tay chân miệng. Số bệnh nhân nhập viện đã tăng gấp đôi so với tháng trước. Nhiều giường bệnh phải ghép 4-5 trẻ/giường. Ngày 14-5, tại khoa nhiễm - thần kinh Bệnh viện Nhi Đồng 1 TP.HCM, chị Nguyễn Thị Thu Thảo (ngụ ở Củ Chi) kể con chị mắc bệnh tay chân miệng phải nhập viện điều trị. Nhân viên y tế xếp con chị...
Trong năm 2009, Ban Giám Đốc Bệnh viện Răng Hàm Mặt TP.HCM có kế hoạch phối hợp với các Đoàn Phẫu thuật nước ngoài để khám, phẫu thuật cho các em bị dị tật hàm mặt: khe hở môi, khe hở hàm ếch và các dị tật hàm mặt khác: u máu, khối u, sẹo bỏng .... tại Bệnh viện Răng Hàm Mặt TP.HCM ( 263- 265 Trần Hưng Đạo Q.1 TP.HCM ) theo lịch sau:
  Các nhà nghiên cứu Mỹ tin rằng mất đi trọng lượng thừa có thể giúp cơ thể chống lại bệnh nướu, theo trang tin Top News. Nhóm chuyên gia tại Trường Y Đại học Case Western Reserve nhận thấy cơ thể con người chống chọi với bệnh nướu tốt hơn khi các tế bào mỡ, vốn kích hoạt tình trạng viêm, biến mất.
Thay vì dùng các loại thuốc chống loạn thần chứa nhiều tác dụng phụ, các bác sĩ có thể dùng tiếng cười như phương thuốc hữu hiệu giúp những bệnh nhân lớn tuổi bị chứng suy giảm trí nhớ ổn định tâm lý.
Cô bé Keeleigh Redfern-John, 12 tuổi, người Anh vô tình phát hiện mình cần ghép gan và thận gấp trong khi đi nhổ răng sâu. 14 tháng tuổi, Keeleigh đã được chẩn đoán mắc bệnh xơ gan bẩm sinh và bệnh thận đa nang nhiễm sắc thể lặn, cứ 10.000 trẻ thì chỉ có duy nhất một bé mắc.  

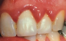
Viêm Sưng Nướu (Lợi)...

  Các chuyên gia thuộc Ðại Học Nha Khoa và Khu Tim Mạch và Nhiễm Trùng bệnh viện Helsinki, Phần Lan, nghiên cứu 141 bệnh nhân...

Xem tiếp...

Đừng súc miệng ngay sau khi...

Lời khuyên này nghe thật không ổn nhưng theo kinh nghiệm của TS. Nha sĩ Phil Stemmer, TT Hơi thở thơm mát (London, Anh) thì cảm...

Xem tiếp...

Trẻ Em Bị Sâu Răng Tăng...

  Nha Sĩ Sandra McDougal cùng các đồng nghiệp, trong đó có một sinh viên Nha Khoa Việt Nam tên là Joanne T. Tran, thuộc Đại Học...

Xem tiếp...