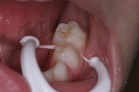
Phương pháp sử dụng bộ giữ chỉ nha khoa (dental floss holder)

a) Chỉ định:
- Sử dụng bổ túc cho bàn chải thông thường để làm sạch vùng kẽ răng.
Thường được sử dụng cho trẻ em (bố mẹ hoặc người nuôi dưỡng thực hiện)

b) Chống chỉ định:
- Răng chen chúc, lệch lạc.
- Răng có vùng kẽ răng rất hẹp

c) Ưu điểm:
- Làm sạch vùng kẽ răng nơi bàn chải thông thường khó tới được.
- Kỹ thuật đơn giản hơn so với việc dùng chỉ nha khoa thông thường.

d) Khuyết điểm:
- Khó buộc và kẹp chỉ nha khoa vào phần cong.
- Sự căng của chỉ nha khoa( ảnh hưởng lớn đến mức độ làm sạch) thường nhanh chóng bị chùn.

(nhakhoathammy.com.vn)