Nha khoa AVA
Nha khoa AVA chuyên sâu phục hình răng sứ, chỉnh hình răng, cấy ghép răng Implant, tẩy trắng răng, bệnh răng miệng, niềng răng thẩm mỹ, bệnh nha chu.

Nha Khoa AVA

www.benhvienthammy.com.vn

dental care

  • Trang chủ
  • Giới thiệu
    • Bảng giá
    • Khuyến mãi
    • Hình ảnh nha khoa
    • Các Bác Sĩ Tại AVA
    • Phòng Lab Nha Khoa AVA
    • Tuyển dụng phụ tá nha khoa
    • Nha khoa AVA địa chỉ duy nhất
  • Dịch vụ
    • Cấy ghép răng (Implant)
    • Răng sứ thẩm mỹ
    • Chỉnh hình răng hàm mặt
    • Nha khoa thẩm mỹ
    • Nha khoa trẻ em
    • Nhổ răng & tiểu phẫu răng
    • Trắm răng thẩm mỹ
    • Chăm sóc răng miệng BN ung thư
    • Tái tạo nụ cười thẩm mỹ
    • Nha khoa phòng ngừa
    • Nha khoa tổng quát
    • Điều trị viêm nướu
  • Chuyên đề nha khoa
    • Cấy ghép răng
    • Phục hình răng
    • Tẩy trắng răng
    • Chỉnh hình răng hàm mặt
    • Bệnh liên quan vùng miệng
    • Bệnh nha chu
    • Bệnh sâu răng
    • Trám răng
    • Nhổ răng và tiểu phẫu răng
  • Nha khoa cộng đồng
    • Chấn thương hàm mặt
    • Pháp luật và đạo đức nha khoa
    • Chăm sóc răng miệng
  • Kiến thức nha khoa
    • Nha khoa người cao tuổi
    • Nha khoa trẻ em
    • Nha khoa tổng quát
    • Nha khoa cơ sở
  • Tin tức nha khoa
    • Tin trong nước
    • Tin thế giới

Hình ảnh nha khoa

  • Trang chủ
  • Hình ảnh nha khoa
  • Răng sứ
  • Răng sứ Ivoclar vivadent 15

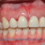
Răng sứ Ivoclar vivadent 15

IMG 0079

IMG 0160

 

 

 

 

 

 

 

 

 

 

 

 

 

 

 

Thực hiện bởi :
+ Bác sĩ Phạm Việt Hùng - AVA
+ Răng sứ Ivoclar Vivadent - Thụy Sỹ
+ Răng 21

Tin liên quan

Nha khoa AVA
Răng sứ Emax Zircad - Ivoclar Vivadent - Thụy Sỹ 23

Răng sứ Emax Zircad - Ivoclar Vivadent - Thụy Sỹ 23

Răng sứ thẩm mỹ 4 răng Emax ZirCad

Răng sứ thẩm mỹ 4 răng Emax ZirCad

Răng sứ Emax Zircad - Ivoclar Vivadent 3

Răng sứ Emax Zircad - Ivoclar Vivadent 3

Răng sứ Cercon Smart - Denstfly 2

Răng sứ Cercon Smart - Denstfly 2

  • Răng sứ Ivoclar vivadent 12
  • Bệnh nhân bị tai nạn gãy răng cửa giữa R11,21
  • Răng sứ Emax Zircad - Ivoclar Vivadent 5
  • Răng sứ Emax Zircad - Ivoclar Vivadent 4
  • Răng sứ Emax Zircad - Ivoclar Vivadent 12
  • Răng sứ Emax Zircad - Ivoclar Vivadent 7
  • Răng sứ Emax Zircad - Ivoclar Vivadent - Thụy Sỹ 20
  • Răng sứ Emax Zircad - Ivoclar Vivadent - Thụy Sỹ 25
  • Răng sứ Ivoclar vivadent 13
  • Răng sứ Ivoclar vivadent 14
  • Răng sứ Emax Zircad - Ivoclar Vivadent 6
  • Răng sứ Emax Zircad - Ivoclar Vivadent 11
  • Răng sứ Emax Zircad - Ivoclar Vivadent - Thụy Sỹ 24
  • Răng sứ Cercon Smart - Denstfly 3
  • Răng sứ Emax Zircad - Ivoclar Vivadent - Thụy Sỹ 18

Hỗ trợ trực tuyến

Địa chỉ duy nhất: 283/91 Cách Mạng Tháng 8, Phường Hòa Hưng (Phường 12 cũ), Quận 10, Tp.HCM
Điện thoại: 028.22066666 - 028.66862222 - 028.62887777 - 028.22297297
Email: Zalo 0388888272
Hotline: 09.1615.7777

Danh mục nha khoa

  • Răng sứ
  • Phục hình
  • Cấy ghép răng
  • Chỉnh hình răng
  • Trám răng thẩm mỹ
  • Cải thiện nụ cười
  • Tư vấn nha khoa Audio

Menu

Nha khoa AVA
  • Trang chủ
  • Hình ảnh
  • Dịch vụ nha khoa
  • Chuyên đề nha khoa
  • Nha khoa cộng đồng
  • Kiến thức nha khoa
  • Bảng giá
  • Liên hệ
  • Các Bác Sĩ Tại AVA

Hình ảnh

Nha khoa thẩm mỹ
  • Bệnh nhân bị tai nạn gãy răng cửa giữa R11,21
  • Cải thiện nụ cười với niềng răng.........! 01
  • Cải thiện nụ cười với niềng răng.........! 02
  • Cải thiện nụ cười với răng nhiễm tertracyclin với Mặt dán sứ
  • Cấy ghép implant 1
  • Cấy ghép implant 2
  • Cấy ghép implant 3
  • Cấy ghép răng implant 4
  • Cấy ghép răng implant 5
  • Cấy ghép răng implant 6
  • Cấy ghép răng implant 7
  • Cấy ghép răng implant 8
  • Chỉnh hình răng - niềng răng thẩm mỹ 01
  • Chỉnh hình răng can thiệp sớm cắn ngược răng trước
  • Chỉnh hình răng can thiệp sớm cắn ngược răng trước 2
  • Chỉnh hình răng mặt can thiệp sớm - răng móm
  • Chỉnh hình răng mọc lệch, thưa sớm cho trẻ
  • Chỉnh hình răng thẩm mỹ điều trị cười hở nướu và hàm lệch với mắc cài kim loại
  • Chỉnh hình răng thẩm mỹ điều trị không nhổ răng
  • Chỉnh hình răng thẩm mỹ điều trị răng cắn chìa hô với mắc cài kim loại
  • Chỉnh hình răng thẩm mỹ điều trị răng chen chúc - cắn chéo với mắc cài kim loại
  • Chỉnh hình răng thẩm mỹ điều trị răng chen chúc với mắc cài kim loại
  • Chỉnh hình răng thẩm mỹ điều trị răng chen chúc với mắc cài kim loại 02
  • Chỉnh hình răng thẩm mỹ điều trị răng chen chúc với mắc cài kim loại 1
  • Chỉnh hình răng thẩm mỹ điều trị răng chen chúc với mắc cài kim loại 2
  • Chỉnh hình răng thẩm mỹ điều trị răng chen chúc với mắc cài kim loại 3
  • Chỉnh hình răng thẩm mỹ điều trị răng dư kẽ giữa với mắc cài kim loại

Liên hệ

Nha khoa thẩm mỹ AVA

Công Ty TNHH Nha Khoa Thẩm Mỹ AVA

Địa chỉ duy nhất : 283/91 Cách Mạng Tháng 8, Phường Hòa Hưng (Phường 12 cũ), Quận 10, Tp.HCM

Hotline: 028.22066666 - 028.66862222 - 028.62887777 - 028.22297297

BS. Phạm Việt Hùng : 0916157777

Zalo đặt lịch hẹn 0388888272

Mã số thuế:  0312093828

Giấy phép: 04405/SYT-GPHĐ

Google map https://g.page/nhakhoava

Nha khoa AVA https://vi-vn.facebook.com/NhaKhoaAVA/

© Copyright 2026 Nha khoa thẩm mỹ AVA uy tín tại tp hồ chí minh chuyên sâu phục hình răng sứ, chỉnh hình răng, niềng răng hô, niềng răng thưa, niềng răng móm, cấy ghép răng Implant, tẩy trắng răng.
nha khoa uy tín tp hcm
zalo-icon
facebook-icon
phone-icon