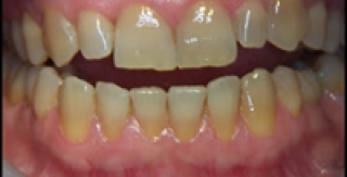
T etracycline là một loại kháng sinh. Ngày nay còn có Doxycycline, Minocycline... là các thuốc kháng sinh cùng nhóm với Tetracycline. Nếu người mẹ uống các thuốc này khi đang mang thai hoặc trẻ uống các thuốc này trước 7-8 tuổi thì có thể làm răng đổi màu. Mức độ sậm màu răng tùy thuộc vào thời điểm, thời gian dùng thuốc, liều lượng và loại thuốc. Màu răng có thể trở nên vàng, nâu hay xám xanh. Sự...
GIẢI PHÁP THẨM MỸ TỐI ƯU VỚI PHỤC HÌNH TOÀN SỨ ZIRCONIA (ZIRCONIUM) HỆ THỐNG CAD/CAM CERCON SMART CERAMICS - Giải pháp phục hình toàn sứ đã được chứng minh. TOÀN SỨ ZIRCONIUM (CERCON, E.MAX ZIR CAD) CHUẨN MỰC MỚI Ngày nay hơn bao giờ hết bệnh nhân luôn yêu cầu việc
Răng cũng như các bộ phận khác của cơ thể cần phải được phục hồi lại khi bị dị dạng hoặc mất đi. Mất răng nếu không được phục hình lại sớm sẽ gây ra một số ảnh hưởng như sau: Ảnh hưởng thẩm mỹ của khuôn mặt. Khó hoặc ăn nhai tốt ảnh hưởng xấu đến bộ máy tiêu hoá. Phát âm không chuẩn. Có sự di chuyễn các răng, các răng còn lại nghiêng về phía mất răng gây thưa, trồi,...
1.Toàn sứ Cerec Cad - Cam là gì? Toàn sứ Cerrec CAD - CAM là một trong những thế hệ toàn sứ mới nhất và hiện đại nhất hiện nay trên thế giới. Toàn bộ quá trình thiết kế (CAD - Computer Aided Design) - sản xuất (Computer Aided Manufacture) đều thực hiện hoàn toàn tự động dưới sự hỗ trợ của máy tính.
Răng sâu bể nhiều, miếng trám to, rất khó giữ cho răng không bị bể thêm. Thường sau một thời gian trám trong miệng chất trám sẽ co lại có khoảng hở, nước ngấm vào làm ngà răng mau mục nát, răng sẽ vỡ, gẫy ngang Muốn bảo tồn răng được bền lâu, trước khi trám nên đóng chốt vào chân răng bằng chốt vàng hay thép (post screw, pivot). Sau khi trám răng xong muốn giữ cho răng chắc hơn thì nên bọc...
  Công nghệ răng sứ mới ra đời , có một bác sĩ nha khoa được mời đi dự một buổi giới thiệu về công nghệ răng sứ . Sau khi nghe giới thiệu xong , bác thấy răng sứ tuyệt vời làm sao ! Bác về thầm quyết định thay hết răng sứ cho mọi người , kể cả mình cũng thay nốt. Trước khi làm răng sứ cho người thân của mình , bác kiểm định và luyện tay nghề lại trên vài khách hàng của mình . Sau...
Xin cho biết sự khác nhau giữa một hàm giả thông thường và một hàm giả lắp liền? Hàm giả được gọi là hàm giả thông thường hay hàm giả lắp liền tùy thuộc vào thời gian từ khi nhổ răng đến khi lắp hàm giả. Hàm giả được lắp ngay sau khi nhổ răng gọi là hàm giả lắp liền còn hàm giả thông thường được thực hiện sau nhổ răng một tháng rưỡi đến hai tháng. Thông thường sau khi nhổ...
• Với một phục hình cố định thì điều quan trọng là phải chải răng và dùng chỉ nha khoa và gặp nha sĩ thường xuyên. Nếu không kiểm sóat được việc thành lập mảnh vụn và mảng bám, acid sẽ được tạo ra, răng và nướu của chúng ta có thể bị nhiễm trùng,sâu răng dưới phục hình,... có thể dẫn đến những điều trị sâu hơn và có khi phải lấy đi phục hình. Sử dụng chỉ nha khoa có thể...
Lý do cần thiết phải giữ vệ sinh răng miệng ở người mang hàm giả Mảnh vụn thức ăn → mảng bám vi khuẩn→ bệnh lý nha chu cho các răng thật còn lại Các chất màu từ thực phẩm nhuộm màu hàm giả→ảnh hưởng thẩm mỹ Vi khuẩn,nấm mốc dễ tích tụ bên dưới hàm giả →viêm loét ,Candida,tăng sinh u nhú mô bên dưới hàm giả
Trong các loại vật liệu làm răng thẩm mỹ thì Sứ không kim loại và Sứ quí kim được đánh giá là vật liệu cao cấp hàng đầu, rất nhiều quí khách rất quan tâm rằng không biết so với các loại sứ khác thì sự khác biệt như thế nào? Răng sứ không kim loại và sứ quí kim đều là loại răng cao cấp nhất trong răng giả. - Răng sứ cao cấp tương hợp sinh học rất tốt: không xảy ra hiện tượng thâm...

Sứ Cercon

Trong nha khoa không phải vật liệu nào có thể cùng một lúc đáp ứng yêu cầu thẩm mỹ và độ bền cho phục hình răng. Cho...

Xem tiếp...

Răng thẩm mỹ: Không nên lạm...

Chỉnh hình nha là những kỹ thuật can thiệp để sắp xếp các răng lệch lạc nhằm đạt thẩm mỹ mà vẫn bảo đảm chức...

Xem tiếp...

Mão kim loại - Bền chắc -...

Mão kim loại toàn diện là 1 chụp đúc bằng kim loại bao phủ toàn thể các mặt của thân răng. Có hình dáng giải phẫu và...