Tại sao trẻ cần được điều trị chỉnh hình răng mặt sớm (Phần 2)
Tuổi nào bắt đầu nắn chỉnh răng là tốt nhất?
- Việc chỉnh hình răng hàm mặt có thể thực hiện ở mọi lứa tuổi. Thời điểm chuẩn để chỉnh hình răng mặt tùy thuộc vào mức độ trầm trọng của sự sai hình xương và sự lệch lạc của răng. Ví dụ, một trẻ bị sứt môi và hở hàm ếch có thể phải dùng một máng chỉnh hình trong miệng ngay sau khi sinh vài tuần.
Theo Hiệp hội Nha khoa Mỹ, nhìn chung, thời điểm tốt nhất để điều trị chỉnh hình răng hàm mặt là khi các răng vĩnh viễn đã mọc (10-12 tuổi). Ở lứa tuổi này, xương hàm đang phát triển, rất thuận lợi cho việc nới rộng và sắp xếp lại các răng. Nhưng để việc nắn chỉnh răng thực sự có hiệu quả hoàn hảo và không gặp nhiều cản trở về sau thì ngay từ khi bắt đầu thay răng sữa (6-7 tuổi) nên cho trẻ đi kiểm tra răng miệng thường xuyên để có thể thực hiện nắn chỉnh răng phòng ngừa kịp thời.
Nắn chỉnh răng phòng ngừa cần thực hiện rất sớm ngay khi bắt đầu thay răng sữa bằng răng vĩnh viễn (khoảng 6-7 tuổi) để điều chỉnh cho hàm răng vĩnh viễn mọc ngay ngắn và đều hơn, giúp cho việc nắn chỉnh toàn diện ở lứa tuổi đã thay hết răng sữa (khoảng 12 tuổi) trở nên dễ dàng và đạt kết quả tốt.
Tại sao cần điều trị chỉnh hình răng hàm mặt sớm cho trẻ ?
- Nhiều bậc cha mẹ phân vân lo lắng không biết có nên đi chỉnh sửa răng cho trẻ khi trẻ chưa thay hết răng sữa hay không, liệu có thể bắt đầu việc điều trị chỉnh nha cho trẻ khi trẻ chưa có đủ các răng vĩnh viễn hay là phải đợi đến khi trẻ thay hoàn toàn các răng sữa? Chỉnh hình răng càng sớm, hiệu quả đạt được sẽ càng cao và thời điểm tốt nhất để tiến hành phương pháp này cũng không hạn chế với những bệnh nhân nhỏ tuổi.
- Nếu không được điều trị chỉnh hình răng mặt sớm, ngoài hậu quả là nó sẽ ảnh hưởng đến vẻ thẩm mỹ của khuôn mặt , răng mọc chen chúc, lệch lạc sẽ gây khó khăn trong việc giữ vệ sinh răng miệng làm tăng tỷ lệ sâu răng và bệnh nha chu, một khớp cắn xấu có thể ảnh hưởng đến hoạt động nhai và hiệu quả nhai sẽ làm giảm chức năng ăn nhai. Một số trường hợp khớp cắn lệch lạc trầm trọng có thể gây gây ra tình trạng khó phát âm, thậm chí trẻ không thể phát âm một số âm nào đó, mặt khác, còn có thể dẫn đến những bệnh lý ở khớp thái dương hàm.
- Chỉnh hình răng mặt sớm sẽ giúp cho cung răng , xương hàm và các cơ nhai phát triển hài hòa với khuôn mặt thẩm mỹ hơn. giúp hài hòa khớp cắn giữa hai xương hàm, điều trị các lệch lạc nhẹ giúp răng mọc đúng vị trí, sắp xếp các răng ngay ngắn lại sớm, loại trừ các yếu tố không thuận lợi cho khớp cắn , giảm thiểu tai nạn gãy răng cửa với các răng cửa chìa ra.
- Việc chỉnh hình sớm đem lại nhiều lợi ích cho trẻ thường ít gây đau đớn và khó chịu cho trẻ trẻ sẽ dễ dàng hợp tác hơn, phát hiện sớm và điều trị sớm các thói quen xấu có thể gây sai lệch khớp cắn. Một số trường hợp đơn giản, chỉnh hình răng mặt sớm có thể giúp cho cung răng và xương hàm phát triển bình thường mà không cần một điều trị nào khác.Nếu trẻ không được điều trị các lệch lạc ban đầu , khớp cắn của trẻ càng lúc càng phát triển theo hướng bất lợi và làm cho quá trình điều trị sau này phức tạp, khó khăn và chi phí điều trị tốn kém hơn.
- Chỉnh hình sớm giúp đơn giản hóa giai đoạn chỉnh hình răng mặt toàn diện về sau nhất là điều trị chỉnh hình sớm những trường hợp có lệch lạc trầm trọng về xương hàm , nếu để đến thời điểm trẻ đã lớn, sẽ không thể điều trị được bằng các phương pháp chỉnh nha can thiệp và toàn diện đơn thuần mà phải dùng phương pháp phẫu thuật phức tạp , tốn kém và khó có thể có được một kết quả hoàn hảo.
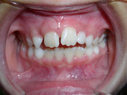
Một số hình ảnh về những loại sai khớp cắn thường gặp:1 . Hô Hàm trên :
![]() ![]() |
- HT nhô quá về phía trước, hoặc hàm dưới lùi quá về phía sau.

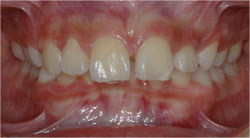
2. Khớp cắn ngược (móm). :


- Hàm dưới nhô quá về phía trước hoặc hàmtrên lùi quá về phía sau .Hiện tượng này xảy ra khi răng hàm trên cắnvào bên trong răng hàm dưới.
3. Khớp cắn hở :


- Khi cắn 2 hàm răng lại, răng hàm phía sau chạm nhaunhưng răng cửa vẫn hở . Răng trên và các răng dưới không chạm nhau.
4. Khớp cắn sâu :


- Khi cắn lại, răng hàm trên che khuất răng hàm dưới.
5. Răng chen chúc:


- Hai hàm đúng vị trí nhưng trên mỗi hàm, răng mọc không đều các răngkhấp khểnh , chen chúc . Răng quá to hay xương hàm cung răng quá nhỏkhông đủ chỗ để các răng sắp xếp.
6. Răng thưa:

- Nếu như răng bị mất hay quá nhỏ hoặc cung răng quárộng, khoảng cách giữa các răng có thể xuất hiện điều tồi tệ thôngthường nhất do quá trình này gây ra là vẻ bề ngoài xấu.
ThS BS Nguyễn Quốc Dũng
Phó Trưởng Khoa RHM BV Nhi Đồng 1

