Làm sao phát hiện được sâu răng?


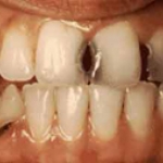
Khi răng sâu phải được phát hiện sớm. Bệnh nhân tự mình không thể khám và thấy được răng sâu, vì không có dụng cụ khám : gương, thám châm, cũng như các phương tiện khác như chụp X quang răng, nội soi răng. Do vậy phải nên đi khám răng định kỳ 6 tháng một lần để phát hiện lỗ sâu mới. Chỉ có nha sĩ mới có thể tìm thấy những lỗ sâu răng mới, vì lỗ sâu có thể nằm ẩn dưới cổ răng, dưới nướu răng, hoặc trong kẻ giữa 2 răng, hoặc lỗ sâu tái phát nằm dưới miếng trám. Những lỗ sâu ngầm khó phát hiện phải chụp X quang mới thấy được.

Bệnh nhân cũng cần biết thêm là lúc còn trẻ, sâu răng thường là ở mặt nhai của răng, nhưng đến khi lớn tuổi nướu răng bị tuột, chân răng bị lộ ra và vùng dưới cổ răng không có men che chở rất dẽ bị sâu ngược từ dưới lên, lỗ sâu nầy khó phát hiện hơn lỗ sâu thông thường, nên khi đã nặng thì răng dễ bị gẫy ngang và rất khó trám.